Friday, June 15, 2012

Receding Gums

Receding gums also known as gum/ginigival recession, refers to exposure in the roots of the teeth caused by a loss of gum tissue. In a healthy mouth the gums along with the periodontal connective tissue surround and support the tooth in the jawbone. Gum recession usually involves a significant loss of these protective tissues. The gum line is pulled away from the root allowing a larger part of the tooth to be visible and in contact with the mouth’s environment. Gum recession is not something that happens overnight. In most cases, receding of gums is a progressive procedure that happens gradually from day to day over the years.

Advanced gingival recession with root exposure- LINK

Badly receded gums of upper and lower teeth - LINK

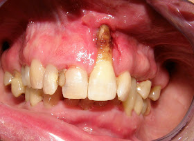
Extreme recession affecting  number of teeth - LINK

LINK

Gingival Recession in a diabetic patient - LINK

LINK

The tunnel technique with subepithelial connective tissue grafts for the coverage of multiple adjacent gingival recessions - LINK

Severe gum recession and calculus buildup - LINK

After micro-scaling and infection treatment of above patient - LINK

LINK

When gum tissue recedes, the roots of the teeth can become exposed causing increased sensitivity or aesthetic problems - LINK

LINK

LINK


 Info from here and here

No comments:

Post a Comment